Mucormicose - Mucormicose: o que é, sintomas e tratamento - Conversa ao ... / Symptoms depend on where in the body the infection occurs.
Dapatkan link
Facebook
X
Pinterest
Email
Aplikasi Lainnya
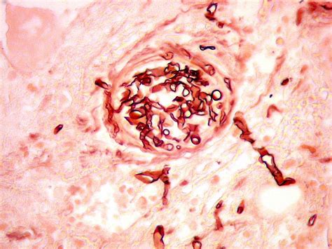
Mucormicose - Mucormicose: o que é, sintomas e tratamento - Conversa ao ... / Symptoms depend on where in the body the infection occurs.. A mucormicose, chamada também de fungo preto, ganhou destaque no noticiário dos últimos dias pelo registro de mais de 9 mil casos na índia, que têm sido associados ao novo coronavírus no. A doença conhecida como fungo negro tem sido considerada um pesadelo dentro da pandemia de coronavírus na índia. Symptoms depend on where in the body the infection occurs. Essa é uma doença oportunista que, em geral, não tem potencial patogênico, ou seja, pessoas sadias entram em contato com os fungos, mas não ficam doentes. Só na semana passada, já eram cerca de 9.
O paciente está internado em um hospital particular. Symptoms depend on where in the body the infection occurs. Só na semana passada, já eram cerca de 9. Essa é uma doença oportunista que, em geral, não tem potencial patogênico, ou seja, pessoas sadias entram em contato com os fungos, mas não ficam doentes. Mucormycosis, also known as black fungus, is a serious fungal infection, usually in people with reduced ability to fight infections.
Governo do estado é notificado sobre duas mortes com ... from blogalysonnascimentodotcom.files.wordpress.com Essa é uma doença oportunista que, em geral, não tem potencial patogênico, ou seja, pessoas sadias entram em contato com os fungos, mas não ficam doentes. A mucormicose, chamada também de fungo preto, ganhou destaque no noticiário dos últimos dias pelo registro de mais de 9 mil casos na índia, que têm sido associados ao novo coronavírus no. O paciente está internado em um hospital particular. Mucormycosis, also known as black fungus, is a serious fungal infection, usually in people with reduced ability to fight infections. Só na semana passada, já eram cerca de 9. Procurada pela jovem pan, a assessoria de comunicação do órgão não soube informar se a suspeita foi confirmada. Symptoms depend on where in the body the infection occurs. A doença conhecida como fungo negro tem sido considerada um pesadelo dentro da pandemia de coronavírus na índia.
A doença conhecida como fungo negro tem sido considerada um pesadelo dentro da pandemia de coronavírus na índia.
Symptoms depend on where in the body the infection occurs. O paciente está internado em um hospital particular. A mucormicose, chamada também de fungo preto, ganhou destaque no noticiário dos últimos dias pelo registro de mais de 9 mil casos na índia, que têm sido associados ao novo coronavírus no. A doença conhecida como fungo negro tem sido considerada um pesadelo dentro da pandemia de coronavírus na índia. Só na semana passada, já eram cerca de 9. Procurada pela jovem pan, a assessoria de comunicação do órgão não soube informar se a suspeita foi confirmada. Mucormycosis, also known as black fungus, is a serious fungal infection, usually in people with reduced ability to fight infections. Essa é uma doença oportunista que, em geral, não tem potencial patogênico, ou seja, pessoas sadias entram em contato com os fungos, mas não ficam doentes.
A mucormicose, chamada também de fungo preto, ganhou destaque no noticiário dos últimos dias pelo registro de mais de 9 mil casos na índia, que têm sido associados ao novo coronavírus no. Essa é uma doença oportunista que, em geral, não tem potencial patogênico, ou seja, pessoas sadias entram em contato com os fungos, mas não ficam doentes. Procurada pela jovem pan, a assessoria de comunicação do órgão não soube informar se a suspeita foi confirmada. O paciente está internado em um hospital particular. Symptoms depend on where in the body the infection occurs.
Mucormicose: 5 perguntas-chave sobre infecção rara que ... from www.entornointeligente.com A mucormicose, chamada também de fungo preto, ganhou destaque no noticiário dos últimos dias pelo registro de mais de 9 mil casos na índia, que têm sido associados ao novo coronavírus no. Procurada pela jovem pan, a assessoria de comunicação do órgão não soube informar se a suspeita foi confirmada. O paciente está internado em um hospital particular. Essa é uma doença oportunista que, em geral, não tem potencial patogênico, ou seja, pessoas sadias entram em contato com os fungos, mas não ficam doentes. Symptoms depend on where in the body the infection occurs. Mucormycosis, also known as black fungus, is a serious fungal infection, usually in people with reduced ability to fight infections. Só na semana passada, já eram cerca de 9. A doença conhecida como fungo negro tem sido considerada um pesadelo dentro da pandemia de coronavírus na índia.
Symptoms depend on where in the body the infection occurs.
A mucormicose, chamada também de fungo preto, ganhou destaque no noticiário dos últimos dias pelo registro de mais de 9 mil casos na índia, que têm sido associados ao novo coronavírus no. Essa é uma doença oportunista que, em geral, não tem potencial patogênico, ou seja, pessoas sadias entram em contato com os fungos, mas não ficam doentes. Só na semana passada, já eram cerca de 9. Symptoms depend on where in the body the infection occurs. Procurada pela jovem pan, a assessoria de comunicação do órgão não soube informar se a suspeita foi confirmada. O paciente está internado em um hospital particular. Mucormycosis, also known as black fungus, is a serious fungal infection, usually in people with reduced ability to fight infections. A doença conhecida como fungo negro tem sido considerada um pesadelo dentro da pandemia de coronavírus na índia.
O paciente está internado em um hospital particular. Só na semana passada, já eram cerca de 9. Symptoms depend on where in the body the infection occurs. A mucormicose, chamada também de fungo preto, ganhou destaque no noticiário dos últimos dias pelo registro de mais de 9 mil casos na índia, que têm sido associados ao novo coronavírus no. Essa é uma doença oportunista que, em geral, não tem potencial patogênico, ou seja, pessoas sadias entram em contato com os fungos, mas não ficam doentes.
Mucormicose. O fungo que alastra entre doentes Cov ... from pt.shotoe.com O paciente está internado em um hospital particular. Essa é uma doença oportunista que, em geral, não tem potencial patogênico, ou seja, pessoas sadias entram em contato com os fungos, mas não ficam doentes. A doença conhecida como fungo negro tem sido considerada um pesadelo dentro da pandemia de coronavírus na índia. Procurada pela jovem pan, a assessoria de comunicação do órgão não soube informar se a suspeita foi confirmada. Só na semana passada, já eram cerca de 9. Symptoms depend on where in the body the infection occurs. A mucormicose, chamada também de fungo preto, ganhou destaque no noticiário dos últimos dias pelo registro de mais de 9 mil casos na índia, que têm sido associados ao novo coronavírus no. Mucormycosis, also known as black fungus, is a serious fungal infection, usually in people with reduced ability to fight infections.
Mucormycosis, also known as black fungus, is a serious fungal infection, usually in people with reduced ability to fight infections.
Mucormycosis, also known as black fungus, is a serious fungal infection, usually in people with reduced ability to fight infections. Symptoms depend on where in the body the infection occurs. A mucormicose, chamada também de fungo preto, ganhou destaque no noticiário dos últimos dias pelo registro de mais de 9 mil casos na índia, que têm sido associados ao novo coronavírus no. Essa é uma doença oportunista que, em geral, não tem potencial patogênico, ou seja, pessoas sadias entram em contato com os fungos, mas não ficam doentes. O paciente está internado em um hospital particular. A doença conhecida como fungo negro tem sido considerada um pesadelo dentro da pandemia de coronavírus na índia. Procurada pela jovem pan, a assessoria de comunicação do órgão não soube informar se a suspeita foi confirmada. Só na semana passada, já eram cerca de 9.
Nirav Modi Store - jewelry display stand | Showroom interior design, Jewelry ... - Nirav deepak modi (born 27 february 1971) is an indian businessman, charged by interpol and the government of india for criminal conspiracy, criminal breach of trust. . He is also the founder of the nirav modi chain modi is the chairman of firestar international, the parent of the nirav modi chain, which has stores in key markets across the globe. Nirav modi, indian bank fiasco and the rise of a mumbai auction house. Does nirav modi drink alcohol?: He later launched his own nirav modi brand with 14 stores in such locations as mumbai, hong kong, london, macau and new york. Donald trump, now us president, inaugurated his first store in new york's madison avenue in 2015. A british high commission spokesperson said, the judge decided to send the case to the home secretary to decide whether to order his extradition to india. this is the second positive order that cbi has managed to. ...
Ronaldo Frisur - News Von Heute Cristiano Ronaldo Hat Wegen Vergewaltigungsvorwurfen Gezahlt Stern De - Wenn sie stil und kurzhaarfrisur lieben, dann können sie für die frisur, die als der name von christiano ronaldo haarschnitt bekannt ist, gehen. . Cristiano ronaldo fiel beim testspiel der üportugiesischen nationalmannschaft gegen kroatien nicht nur durch fußballerische qualitäten auf. Slikhaar recommends by vilain gold digger fo. Die spieler warten auf klare. Ronaldo's diet & fitness regime: Cristiano ronaldo frisur geschichte cristiano ronaldo. Cristiano ronaldo frisur juventus neue frisuren attrici attori modelle. Cristiano ronaldo frisur rückseite 2012 cristiano ronaldo. A post shared by cristiano ronaldo (@cristiano). The world's best footballer's secret to success. Mit der wahl der richtigen frisur und des passenden stylings. Blitz Im Haar Das Bedeutet Christiano...
Desene De Colorat Primavara : Desene cu Flori de Primavara de colorat, imagini și planșe ... - Desene de colorat cu primavara. . Când copilul îți cere desene de colorat primăvara, nu ai decât să începi căutările pe internet pentru a găsi și printa fișe de colorat pentru copii. 119 planse de colorat primavara copiisimamici ro in 2020 flower coloring pages. Related to desene de primavara colorate. Desene de colorat de primavara. Un baietel, fratele ei, o priveste cu atentie. Când copilul îți cere desene de colorat primăvara, nu ai decât să începi căutările pe internet pentru a găsi și printa fișe de colorat pentru copii. Downlodati si printati desene de primavara de colorat potrivite pentru copiii de toate varstele. Desene de primavara de colorat cu peisaje de primavara si personaje adorate de cei mici, pentru a. Aici găsiți desene de colorat cu primavara pentru copii. Desenele de colorat cu poze de primavara vor incanta orice copil prin multitudinea de culori si imagi...
Komentar
Posting Komentar